-
About this article
Cite this article
Md Arifur Rahman, Qamruzzaman Chowdhury, Ferdous Ara Begum, Muhammad Masudul Hassan Arup, Saequa Habib. 2020. Primary Rectal Non-Hodgkin's Lymphoma Treated with Urgent Radiotherapy and Chemotherapy: A Case Report and Literature Review. Gastrointestinal Tumors. 7:5648 doi: 10.1159/000505648
Primary Rectal Non-Hodgkin's Lymphoma Treated with Urgent Radiotherapy and Chemotherapy: A Case Report and Literature Review
- Received: 18 November 2019
- Accepted: 29 December 2019
- Published online: 30 March 2020
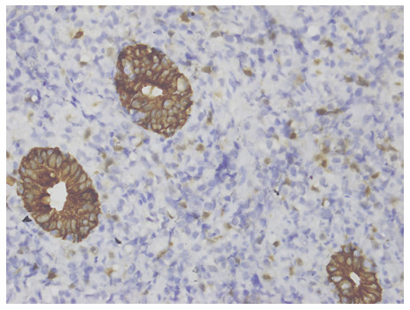
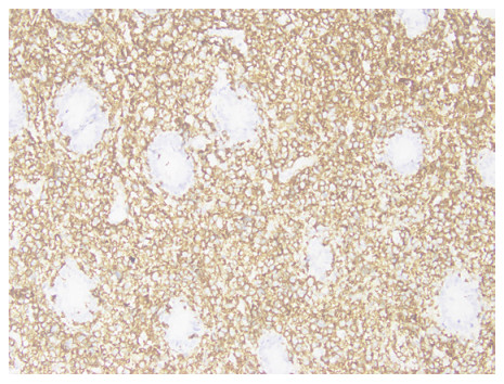
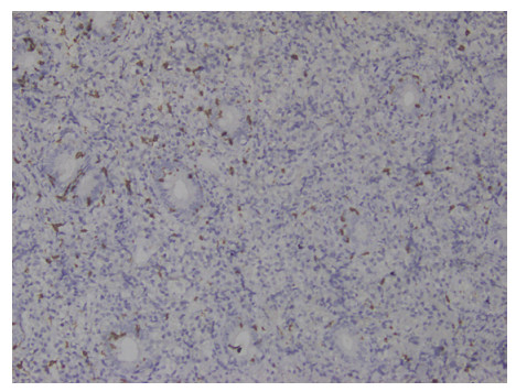
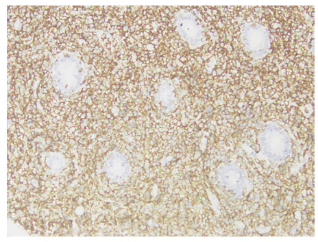
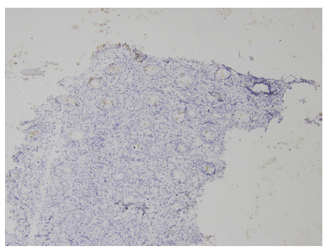
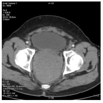
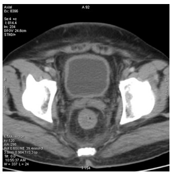
Abstract: Rectal malignancy is usually symptomatic due to its location, and most of the time presents with pain and bleeding due to its growth and ulceration. It is difficult to identify the primary as carcinoma or lymphoma based on symptoms only, as both have a similar presentation. As it presents the rarest form of histology, non-Hodgkin's lymphoma in the rectum is still difficult to diagnose initially, and its treatment is debatable. We describe the case of a 49-year-old male from Bangladesh with the same presentation. His treatment was delayed for more than a month as immunohistochemistry and staging delayed the final diagnosis. The disease was diagnosed as stage IE with the help of a positron emission tomography (PET)-CT scan, and due to the local progression the patient had a massive rectal bleeding that needed an urgent intervention. Radiotherapy was applied to stop the bleeding. Hypofraction followed by a conventional fraction of external beam radiotherapy (EBRT) with a total of 40 Gy was applied. Post-EBRT digital rectal examination showed no residual except scaring, and a PET scan was also negative for residual disease. Due to uncertainties and lack of any precious guideline, 6 cycles of adjuvant chemotherapy with the R-CHOP schedule were also completed. Without surgery, the combination of EBRT and chemotherapy helped to preserve the organ, and the patient has been disease free for more than 2.5 years since his treatment.
-
Key words:
- Primary /
- Rectum /
- Non-Hodgkin's lymphoma /
- Lymphoma /
- Radiotherapy /
- Chemotherapy






