-
About this article
Cite this article
Ian Torres de Lima, Edno Tales Bianchi, Gabriel Lunardi Aranha, Beatriz Camargo Azevedo, Guilherme Naccache Namur, Jaime Arthur Pirola Kruger. 2021. Abdominal Viscera Migration Performing Hemodynamic Instability after Esophagectomy: A Case Report. Gastrointestinal Tumors. 8:37 doi: 10.1159/000518937
Abdominal Viscera Migration Performing Hemodynamic Instability after Esophagectomy: A Case Report
- Received: 29 June 2021
- Accepted: 03 August 2021
- Published online: 08 September 2021
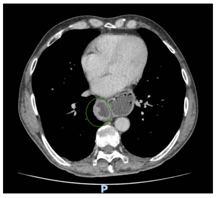
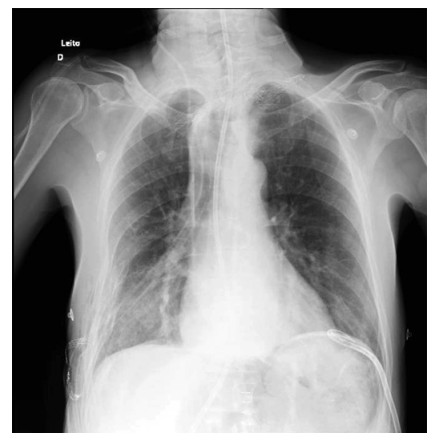
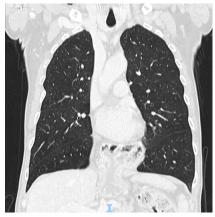
Abstract: Hiatal hernia is a rare postoperative complication of esophagectomy in the treatment of esophageal cancer. Although rare, its incidence increased after the establishment of minimally invasive surgical techniques. The patient is usually oligosymptomatic, and the diagnosis is made in the late postoperative period, during outpatient follow-up. The initial presentation of hiatus hernia with hemodynamic instability is a rare condition that has never been described in the literature before. In the following report, we address the clinical picture, diagnosis, and treatment for this condition, discussing the main nuances of the literature.
-
Key words:
- Esophageal cancer /
- Esophagectomy /
- Hiatal hernia






