-
About this article
Cite this article
Vijay Waman Dhakre, Govind Purushothaman, Nilesh Doctor. 2022. Gallbladder Neuroendocrine Tumors: Is There a Need for a Specific Approach?. Gastrointestinal Tumors. 9:88 doi: 10.1159/000520988
Gallbladder Neuroendocrine Tumors: Is There a Need for a Specific Approach?
- Received: 17 August 2021
- Accepted: 15 November 2021
- Published online: 18 November 2021
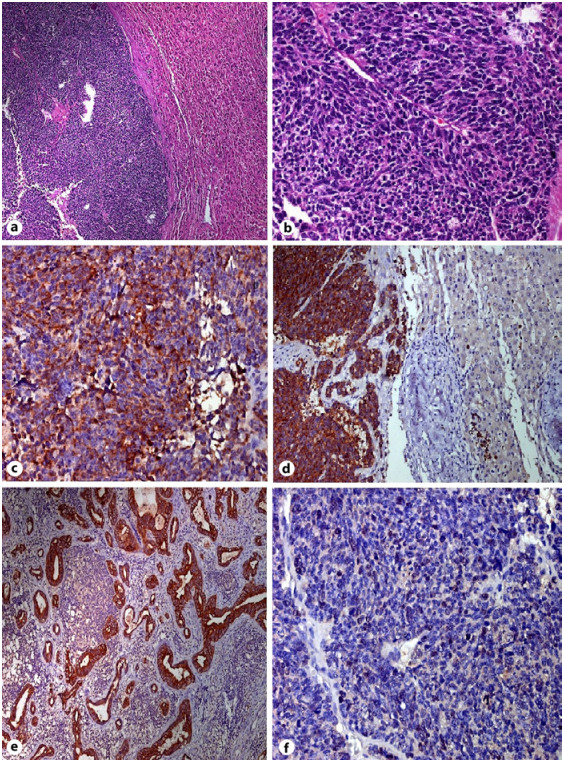
Abstract: Neuroendocrine tumors (NETs) of the gallbladder or the biliary tree are rare. Most of the current guidelines and protocols are derived from the experience of managing lung small cell neuroendocrine carcinoma or gastrointestinal NETs. But, the overall outcome of gallbladder NETs (GB-NETs) seems worse than similarly staged lung NETs and adenocarcinoma of the gallbladder. This may be due to its rarity and lack of literature for a focused approach toward its treatment. Hence, the need for a specifically designed approach might help improve results of treatment for these rare tumors. We share our experience of 2 patients with GB-NETs and their 5-year outcome.






