-
About this article
Cite this article
Vijay W. Dhakre, Sneha Tukaram Galande, Varsha Gunvant Patil, Nikita C. Shah, Chetan Rathod, Kaiumarz S. Sethna, Anjali D. Amrapurkar. 2023. Mixed Neuroendocrine and Non-Neuroendocrine Neoplasm of Pancreas: What Do We Know, What Have We Learnt?. Gastrointestinal Tumors. 10: doi: 10.1159/000528759
Mixed Neuroendocrine and Non-Neuroendocrine Neoplasm of Pancreas: What Do We Know, What Have We Learnt?
- Received: 30 December 2021
- Accepted: 05 December 2022
- Published online: 08 February 2023
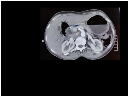
Abstract: Pancreatic adeno-mixed neuroendocrine non-endocrine (pMINEN) tumors are extremely rare [Pancreatology. 2021;21(1):224–235]. They are known to have distal metastasis at presentation and have a comparatively lower survival rate than similar staged neuroendocrine (NEN) carcinoma, adenocarcinoma, and small-cell lung tumor from which its treatment patterns are extrapolated. Also, very less is known about its molecular structure and natural courses. There is a dearth of data about pMINEN in the literature, and also there is a lack of large multicentral trials due to which the MINEN tumors do not have a standard universal management protocol. We discuss here the clinical dilemmas that arise during diagnosis and reporting and urge to form a multicentric trial to formulate a focused protocolized approach. We describe here our encounter with a pancreatic head lesion which on immunohistochemical analysis turned out to be a pMINEN with moderately differentiating ductal adenocarcinoma and low-grade NEN tumor. Radical R0 surgery with multimodal treatment (chemotherapy + radiotherapy) gains improved survival in long term.






