-
About this article
Cite this article
Bita Geramizadeh, Sara Nabavizadeh, Alireza Rezvani, Nadereh Shamsolvaezin, Alireza Zahedinassab, Neda Khodadadi, Pouya Iranpour. 2023. Mast Cell Sarcoma of Small Intestine, Early Diagnosis, and Good Prognosis: An Extremely Rare Case Report and Review of the Literature. Gastrointestinal Tumors. 10:528887 doi: 10.1159/000528887
Mast Cell Sarcoma of Small Intestine, Early Diagnosis, and Good Prognosis: An Extremely Rare Case Report and Review of the Literature
- Received: 17 September 2021
- Accepted: 05 December 2022
- Published online: 27 January 2023
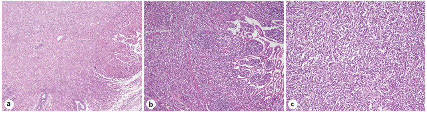
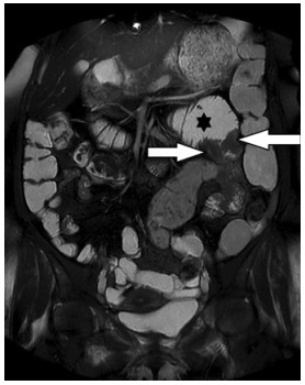
Abstract: Gastrointestinal mast cell sarcoma is a rare variant of mastocytosis. It is a unifocal tumor with high destructive capacity and metastatic potential. Diagnosis of mast cell sarcoma can be challenging and might be so delayed that unfavorable prognosis may be expected. In this case report, we will describe our experience with a case of mast cell sarcoma in the small intestine of an elderly woman, which was diagnosed early on throughout the course of her disease and successfully treated. The patient was a 59-year-old woman who presented with abdominal pain, flushing, weight loss, and vomiting. Imaging studies supported the existence of an infiltrative neoplasm in the jejunum. Then, surgical removal of the tumor was performed. The presence of mast cells in the resected tumor was confirmed by immunohistochemistry, histopathology, and Giemsa staining. After almost a year of follow-up, the patient’s overall condition was fine, and no signs of recurrence were found. This is the first reported case of successfully treated gastrointestinal mast cell sarcoma. All of the previously reported cases had been diagnosed after recurrence with no response to treatment. Our case shows the significance of early diagnosis and treatment in this condition and its impact on outcome and prognosis. That could be achieved only if the pathologist has a high suspicion for this rare disease and keeps it in the back of one’s mind.
-
Key words:
- Mast cell sarcoma /
- Gastrointestinal neoplasm /
- Extracutaneous mastocytoma






