-
About this article
Cite this article
Blake H. Bentley, Abigail L. Ellington, Alyssa A. Guo, Haiyan Lu, William C. Lippert. 2023. Jejunal Leiomyosarcoma in a Young Adult: Distinguishing from Gastrointestinal Stromal Tumor through Radiographic, Histologic, and Epidemiologic Analysis – A Case Report. Gastrointestinal Tumors. 10: doi: 10.1159/000538430
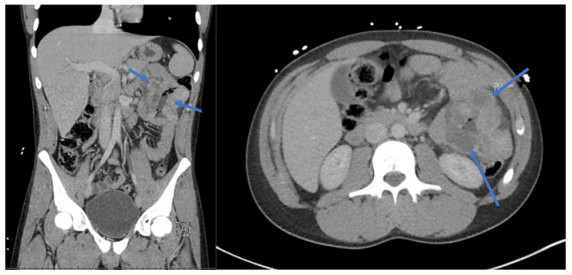
Jejunal Leiomyosarcoma in a Young Adult: Distinguishing from Gastrointestinal Stromal Tumor through Radiographic, Histologic, and Epidemiologic Analysis – A Case Report
- Received: 11 December 2023
- Accepted: 15 March 2024
- Published online: 17 April 2024
Abstract:






