Search
2023 Volume 10
Article Contents
REVIEW ARTICLE   Open Access    

Current Surgical Methods in Local Rectal Excision

More Information
  • Background: The treatment of rectal cancer has evolved with the advancement of surgical techniques. Less invasive approaches are becoming more accepted as the primary treatment method.
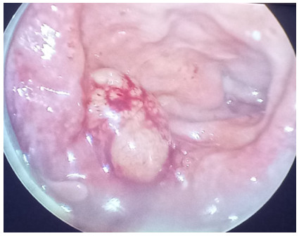
    Summary: Such methods as transanal excision, transanal endoscopic microsurgery, and transanal minimally invasive surgery can reduce morbidity and mortality rates. However, not all patients are suitable candidates for these procedures, and proper diagnostics are necessary to establish indications. Compared to total mesorectal excision, transanal excision techniques have been shown to have fewer complications and comorbidities while still being able to remove cancerous tissue entirely. Transanal excision is the simplest method, where the operator removes visible rectal lesions. The basic principle of transanal endoscopic microsurgery is to dilate the rectum mechanically and by air insufflation and then use special surgical instruments to remove suspicious lesions under the vision of a telescope. Transanal minimally invasive surgery combines transanal endoscopic microsurgery and single-incision laparoscopic surgery, making the hard-to-reach proximal rectum accessible to classic laparoscopic instruments.
    Key Message: Local excision techniques, when used as a monotherapy for treating patients with rectal cancer, have established themselves as a curative and less radical treatment for strictly selected patients with early rectal carcinoma, leading to improved quality of life. When combined with other modalities such as neoadjuvant chemoradiotherapy, total neoadjuvant therapy, and immunotherapy, transanal surgery can be offered to patients with locally advanced rectal cancer as part of the organ preservation strategy. This review will discuss the patient selection and technical aspects of transanal surgery, showcasing its current role in treating rectal carcinoma.
  • Cite this article

    Kristina Šemanjski, Karla Lužaić, Jure Brkić. 2023. Current Surgical Methods in Local Rectal Excision. Gastrointestinal Tumors. 10:58 doi: 10.1159/000538958
    Kristina Šemanjski, Karla Lužaić, Jure Brkić. 2023. Current Surgical Methods in Local Rectal Excision. Gastrointestinal Tumors. 10:58 doi: 10.1159/000538958

Figures(5)

Article Metrics

Article views(1816) PDF downloads(1061)

Other Articles By Authors

Review Article   Open Access    

Current Surgical Methods in Local Rectal Excision

Gastrointestinal Tumors  10 Article number: 10.1159/000538958  (2023)  |  Cite this article

Abstract: 

Background: The treatment of rectal cancer has evolved with the advancement of surgical techniques. Less invasive approaches are becoming more accepted as the primary treatment method.
Summary: Such methods as transanal excision, transanal endoscopic microsurgery, and transanal minimally invasive surgery can reduce morbidity and mortality rates. However, not all patients are suitable candidates for these procedures, and proper diagnostics are necessary to establish indications. Compared to total mesorectal excision, transanal excision techniques have been shown to have fewer complications and comorbidities while still being able to remove cancerous tissue entirely. Transanal excision is the simplest method, where the operator removes visible rectal lesions. The basic principle of transanal endoscopic microsurgery is to dilate the rectum mechanically and by air insufflation and then use special surgical instruments to remove suspicious lesions under the vision of a telescope. Transanal minimally invasive surgery combines transanal endoscopic microsurgery and single-incision laparoscopic surgery, making the hard-to-reach proximal rectum accessible to classic laparoscopic instruments.
Key Message: Local excision techniques, when used as a monotherapy for treating patients with rectal cancer, have established themselves as a curative and less radical treatment for strictly selected patients with early rectal carcinoma, leading to improved quality of life. When combined with other modalities such as neoadjuvant chemoradiotherapy, total neoadjuvant therapy, and immunotherapy, transanal surgery can be offered to patients with locally advanced rectal cancer as part of the organ preservation strategy. This review will discuss the patient selection and technical aspects of transanal surgery, showcasing its current role in treating rectal carcinoma.

  • About this article
    Cite this article
    Kristina Šemanjski, Karla Lužaić, Jure Brkić. 2023. Current Surgical Methods in Local Rectal Excision. Gastrointestinal Tumors. 10:58 doi: 10.1159/000538958
    Kristina Šemanjski, Karla Lužaić, Jure Brkić. 2023. Current Surgical Methods in Local Rectal Excision. Gastrointestinal Tumors. 10:58 doi: 10.1159/000538958

Catalog

    /

    DownLoad:  Full-Size Img  PowerPoint
    Return
    Return