-
About this article
Cite this article
Andrey G. Kriger, David S. Gorin, Stanislav V. Berelavichus, Vladimir I. Panteleev, Ayrat R. Kaldarov. 2020. Successful Surgical Treatment of a Patient with Synchronic Intraductal Papillary Mucinous Carcinoma and Solid Pseudopapillary Neoplasm of the Pancreas. Gastrointestinal Tumors. 7:185 doi: 10.1159/000509185
Successful Surgical Treatment of a Patient with Synchronic Intraductal Papillary Mucinous Carcinoma and Solid Pseudopapillary Neoplasm of the Pancreas
- Received: 03 April 2020
- Accepted: 05 June 2020
- Published online: 12 August 2020
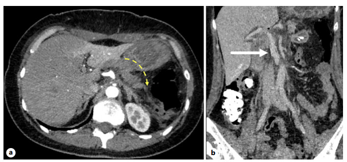
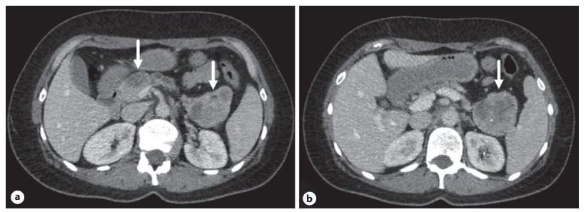
Abstract: Intraductal papillary mucinous neoplasm (IPMN) and solid pseudopapillary neoplasm (SPN) are uncommon cystic tumors of the pancreas. The simultaneous occurrence of these 2 pancreatic neoplasms is extremely rare. We present a case of synchronous solid SPN and IPMN – carcinoma in a 44-year-old female patient. An uncommon surgical treatment was performed – pancreatoduodenectomy with the resection of the pancreas body, resection of the mesentericoportal trunk + distal pancreatectomy, and splenectomy. Part of the pancreatic tissue was preserved.






