-
About this article
Cite this article
Andreas Mavroudis, Evangelos Cholongitas. 2020. Long-Term Survival under Arterial Chemoembolization and Sorafenib of a Patient with Hepatocellular Carcinoma and Tumor Atrial Thrombus: A Case Report and Literature Review. Gastrointestinal Tumors. 7:186 doi: 10.1159/000509186
Long-Term Survival under Arterial Chemoembolization and Sorafenib of a Patient with Hepatocellular Carcinoma and Tumor Atrial Thrombus: A Case Report and Literature Review
- Received: 07 May 2020
- Accepted: 05 June 2020
- Published online: 18 August 2020
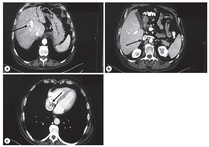
Abstract: Hepatocellular carcinoma (HCC) is considered to be the fourth most frequent cause of cancer-associated death globally. HCC might be associated, especially in advanced stages, with the formation of tumor thrombus (TT), which can be located in the portal vein, as well as in hepatic and/or inferior vena cava (IVC) veins. Nevertheless, the extension of TT to the right atrium (RA) is infrequent with an unfavorable prognosis. We present a rare case of a male patient with HCC and IVC TT extending to the RA. The atrial thrombus was the first manifestation of HCC diagnosed by cardiac ultrasound. So far, the patient has undergone 4 courses of transarterial chemoembolization in combination with systemic therapy with sorafenib, and under this therapeutic approach long-term survival has been achieved.






