-
About this article
Cite this article
Melissa Kyriakos Saad, Fatme Ghandour, Fatmeh Ghandour El Hajj, Imad El Hajj, Elias Saikaly. 2021. Colonic Carcinosarcoma: Report of a Rare Colorectal Malignancy and Review of Literature. Gastrointestinal Tumors. 8:628 doi: 10.1159/000510628
Colonic Carcinosarcoma: Report of a Rare Colorectal Malignancy and Review of Literature
- Received: 27 May 2020
- Accepted: 02 August 2020
- Published online: 06 October 2020
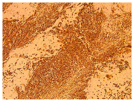
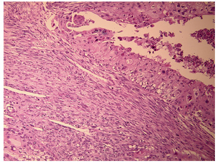
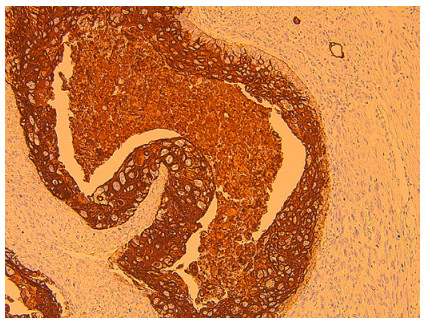
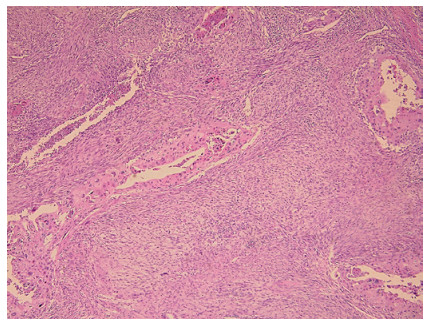
Abstract: Colonic carcinosarcoma is an extremely rare tumor composed of mixed malignant epithelial and mesenchymal cells. Due to its rarity, its pathogenesis is poorly understood, and there are no specific guidelines for its treatment.
-
Key words:
- Colorectal cancer /
- Colorectal carcinosarcoma






