-
About this article
Cite this article
Davide Lanza, Adrian Casty, Stefan H. Schlosser. 2022. Endobiliary Radiofrequency Ablation for Malignant Biliary Obstruction over 32-Month Follow-Up. Gastrointestinal Tumors. 9:522363 doi: 10.1159/000522363
Endobiliary Radiofrequency Ablation for Malignant Biliary Obstruction over 32-Month Follow-Up
- Received: 29 November 2021
- Accepted: 30 December 2021
- Published online: 02 February 2022
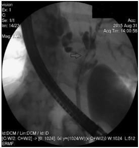
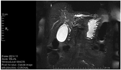
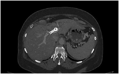
Abstract: Hilar cholangiocellular carcinoma (CCC) is a malignant neoplasm of epithelial origin occurring at the confluence of the right and left hepatic bile ducts. Typically, these tumors are small, poorly differentiated, exhibit aggressive biologic behavior with non-specific symptoms and tend to obstruct the intrahepatic bile ducts. Surgery is the only available curative option. Unfortunately, in less than half of the patients a complete resection is possible with poor survival rate in unresectable cases. In this report, we present the case of a 58-year-old woman with a history of unresectable hilar cholangiocarcinoma. Initially she was treated with intraductal dilatation of malignancy and placement of a plastic stent and chemotherapy (Gemcitabin® and Platinol®). Two years later she underwent a second-line chemotherapy with Gemcitabin® and Oxyplatin® because of tumor progression. Despite a second line chemotherapy and placement of an uncovered self-expandible metal stent (ucSEMS) that was extended later on by stent-in stent technique, there was tumor progression which led to a complex course with relapsing obstructive cholangiosepsis and cholestasis. Because of tumor ingrowth, endobiliary radiofrequency ablation of the malignant stenosis was performed in repeated sessions. This case illustrates that radiofrequency ablation of solitary malignant biliary obstruction is feasible, safe and allows an improvement of quality of life in non-operable patients.
-
Key words:
- Cholangiocarcinoma /
- Klatskin tumor /
- Endobiliary radiofrequency ablation






