-
About this article
Cite this article
Vijay W. Dhakre, Shrikant S. Suryawanshi, Vijay P. Shewale, Chetan Rathod, Sneha Tukaram Galande, Kaiumarz S. Sethna. 2022. Successful Use of Direct Splenic Vein Anastomosis to the Interposition Internal Jugular Vein Graft after Extended Pancreatoduodenectomy to Avoid Sinistral Portal Hypertension. Gastrointestinal Tumors. 9: doi: 10.1159/000522590
Successful Use of Direct Splenic Vein Anastomosis to the Interposition Internal Jugular Vein Graft after Extended Pancreatoduodenectomy to Avoid Sinistral Portal Hypertension
- Received: 24 November 2021
- Accepted: 06 February 2022
- Published online: 14 February 2022
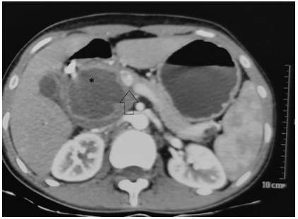
Abstract: Splenic vein (SV) ligation may be needed during portomesenteric junction resection, in pancreatoduodenectomy. Sinistral portal hypertension is a concern if the SV is not drained. Various techniques are described to reconstruct SV to avoid the variceal formation and sinistral portal hypertension which may lead to GI bleed. We describe a case of a 19-year-old female who underwent pancreatoduodenectomy for solid pseudopapillary neoplasm with portal-superior mesenteric vein junction resection and splenic venous was anastomosed into the interposition graft. We here share our unique experience of using an interposition internal jugular vein graft for a long venous defect and diverging morbidity of sinistral portal hypertension.






