Search
2025 Volume 42
Article Contents
PERSPECTIVE   Open Access    

Optic neuropathy in high myopia

More Information
  • Myopia, particularly high myopia, has become a significant global public health issue due to its increasing prevalence. High myopia is associated with various ocular complications, including early-onset cataracts, glaucoma, retinal detachment, and myopic maculopathy, yet optic nerve damage is often overlooked. This article reviews the morphological changes in the optic disc, peripapillary region, and retinal layers, along with the relevant functional defects. Additionally, recent advancements in artificial intelligence (AI)-related research in this field are summarized. The article also highlights the need for developing a standardized grading and classification system for high-myopic optic neuropathy, supported by large-scale, high-quality longitudinal cohort studies to explore the relationships between myopic optic neuropathy and other complications, experimental research to uncover the underlying mechanisms of optic nerve damage, and the integration of AI - all of which are essential for improving diagnostic accuracy, monitoring, and treatment strategies for high myopia patients at risk of progressive vision loss.
  • 加载中
  • [1] Flitcroft DI, He M, Jonas JB, Jong M, Naidoo K, et al. 2019. IMI - defining and classifying myopia: a proposed set of standards for clinical and epidemiologic studies. Investigative Ophthalmology & Visual Science 60:M20−M30 doi: 10.1167/iovs.18-25957

    CrossRef   Google Scholar

    [2] Morgan IG, He M, Rose KA. 2017. EPIDEMIC OF PATHOLOGIC MYOPIA: What can laboratory studies and epidemiology tell us? Retina 37:989−97 doi: 10.1097/IAE.0000000000001272

    CrossRef   Google Scholar

    [3] Wang SK, Guo Y, Liao C, Chen Y, Su G, et al. 2018. Incidence of and factors associated with myopia and high myopia in Chinese children, based on refraction without cycloplegia. JAMA Ophthalmology 136:1017−24 doi: 10.1001/jamaophthalmol.2018.2658

    CrossRef   Google Scholar

    [4] Morgan IG, French AN, Ashby RS, Guo X, Ding X, et al. 2018. The epidemics of myopia: aetiology and prevention. Progress in Retinal and Eye Research 62:134−49 doi: 10.1016/j.preteyeres.2017.09.004

    CrossRef   Google Scholar

    [5] Holden BA, Fricke TR, Wilson DA, Jong M, Naidoo KS, et al. 2016. Global prevalence of myopia and high myopia and temporal trends from 2000 through 2050. Ophthalmology 123:1036−42 doi: 10.1016/j.ophtha.2016.01.006

    CrossRef   Google Scholar

    [6] Modjtahedi BS, Abbott RL, Fong DS, Lum F, Tan D, et al. 2021. Reducing the global burden of myopia by delaying the onset of myopia and reducing myopic progression in children: the academy's task force on myopia. Ophthalmology 128:816−26 doi: 10.1016/j.ophtha.2020.10.040

    CrossRef   Google Scholar

    [7] Saw SM, Gazzard G, Shih-Yen EC, Chua WH. 2005. Myopia and associated pathological complications. Ophthalmic & Physiological Optics 25:381−91 doi: 10.1111/j.1475-1313.2005.00298.x

    CrossRef   Google Scholar

    [8] Ikuno Y. 2017. Overview of the complications of high myopia. Retina 37:2347−51 doi: 10.1097/IAE.0000000000001489

    CrossRef   Google Scholar

    [9] Zhang X, Jiang J, Kong K, Li F, Chen S, et al. 2024. Optic neuropathy in high myopia: glaucoma or high myopia or both? Progress in Retinal and Eye Research 99:101246 doi: 10.1016/j.preteyeres.2024.101246

    CrossRef   Google Scholar

    [10] Du R, Xie S, Igarashi-Yokoi T, Watanabe T, Uramoto K, et al. 2021. Continued increase of axial length and its risk factors in adults with high myopia. JAMA Ophthalmology 139:1096−103 doi: 10.1001/jamaophthalmol.2021.3303

    CrossRef   Google Scholar

    [11] Jiang F, Wang D, Xiao O, Guo X, Yin Q, et al. 2024. Four-year progression of myopic maculopathy in children and adolescents with high myopia. JAMA Ophthalmology 142:180−86 doi: 10.1001/jamaophthalmol.2023.6319

    CrossRef   Google Scholar

    [12] Deng J, Xu X, Pan CW, Wang J, He M, et al. 2024. Myopic maculopathy among Chinese children with high myopia and its association with choroidal and retinal changes: the SCALE-HM study. British Journal of Ophthalmology 108:720−28 doi: 10.1136/bjo-2022-321839

    CrossRef   Google Scholar

    [13] Wang YX, Yang H, Wei CC, Xu L, Wei WB, et al. 2023. High myopia as risk factor for the 10-year incidence of open-angle glaucoma in the Beijing Eye Study. British Journal of Ophthalmology 107:935−40 doi: 10.1136/bjophthalmol-2021-320644

    CrossRef   Google Scholar

    [14] Ha A, Kim CY, Shim SR, Chang IB, Kim YK. 2022. Degree of myopia and glaucoma risk: a dose-response meta-analysis. American Journal of Ophthalmology 236:107−19 doi: 10.1016/j.ajo.2021.10.007

    CrossRef   Google Scholar

    [15] Pan T, Su Y, Yuan ST, Lu HC, Hu ZZ, et al. 2018. Optic disc and peripapillary changes by optic coherence tomography in high myopia. International Journal of Ophthalmology 11:874−80 doi: 10.18240/ijo.2018.05.25

    CrossRef   Google Scholar

    [16] Wang YX, Panda-Jonas S, Jonas JB. 2021. Optic nerve head anatomy in myopia and glaucoma, including parapapillary zones alpha, beta, gamma and delta: Histology and clinical features. Progress in Retinal and Eye Research 83:100933 doi: 10.1016/j.preteyeres.2020.100933

    CrossRef   Google Scholar

    [17] Jonas JB, Spaide RF, Ostrin LA, Logan NS, Flitcroft I, et al. 2023. IMI-nonpathological human ocular tissue changes with axial myopia. Investigative Ophthalmology & Visual Science 64:5 doi: 10.1167/iovs.64.6.5

    CrossRef   Google Scholar

    [18] Jonas JB, Zhang Q, Xu L, Wei WB, Jonas RA, et al. 2023. Change in the ophthalmoscopical optic disc size and shape in a 10-year follow-up: the Beijing Eye Study 2001−2011. British Journal of Ophthalmology 107:283−88 doi: 10.1136/bjophthalmol-2021-319632

    CrossRef   Google Scholar

    [19] Jonas JB, Gusek GC, Naumann GOH. 1988. Optic disk morphometry in high myopia. Graefe's Archive for Clinical and Experimental Ophthalmology 226:587−90 doi: 10.1007/BF02169209

    CrossRef   Google Scholar

    [20] Li Z, Guo X, Xiao O, Lee PY, Liu R, et al. 2018. Optic disc features in highly myopic eyes: the ZOC-BHVI high myopia cohort study. Optometry and Vision Science 95:318−22 doi: 10.1097/OPX.0000000000001200

    CrossRef   Google Scholar

    [21] Koh V, Tan C, Tan PT, Tan M, Balla V, et al. 2016. Myopic maculopathy and optic disc changes in highly myopic young asian eyes and impact on visual acuity. American Journal of Ophthalmology 164:69−79 doi: 10.1016/j.ajo.2016.01.005

    CrossRef   Google Scholar

    [22] Graham MV, Wakefield GJ. 1973. Bitemporal visual field defects associated with anomalies of the optic discs. British Journal of Ophthalmology 57:307−14 doi: 10.1136/bjo.57.5.307

    CrossRef   Google Scholar

    [23] Fuchs A, Pressburger E. 1947. Myopia inversa. Archives of Ophthalmology 37(6):722−39 doi: 10.1001/archopht.1947.00890220744003

    CrossRef   Google Scholar

    [24] Chang L, Pan CW, Ohno-Matsui K, Lin X, Cheung GCM, et al. 2013. Myopia-related fundus changes in Singapore adults with high myopia. American Journal of Ophthalmology 155:991−999.e1 doi: 10.1016/j.ajo.2013.01.016

    CrossRef   Google Scholar

    [25] Tay E, Seah SK, Chan SP, Lim ATH, Chew SJ, et al. 2005. Optic disk ovality as an index of tilt and its relationship to myopia and perimetry. American Journal of Ophthalmology 139:247−52 doi: 10.1016/j.ajo.2004.08.076

    CrossRef   Google Scholar

    [26] Moghadas Sharif N, Shoeibi N, Ehsaei A, Mallen EAH. 2016. Optical coherence tomography and biometry in high myopia with tilted disc. Optometry and Vision Science 93:1380−86 doi: 10.1097/OPX.0000000000000973

    CrossRef   Google Scholar

    [27] Sung MS, Kang YS, Heo H, Park SW. 2016. Characteristics of optic disc rotation in myopic eyes. Ophthalmology 123:400−7 doi: 10.1016/j.ophtha.2015.10.018

    CrossRef   Google Scholar

    [28] Samarawickrama C, Mitchell P, Tong L, Gazzard G, Lim L, et al. 2011. Myopia-related optic disc and retinal changes in adolescent children from Singapore. Ophthalmology 118:2050−57 doi: 10.1016/j.ophtha.2011.02.040

    CrossRef   Google Scholar

    [29] Marsh-Tootle WL, Harb E, Hou W, Zhang Q, Anderson HA, et al. 2017. Optic nerve tilt, crescent, ovality, and torsion in a multi-ethnic cohort of young adults with and without myopia. Investigative Ophthalmology & Visual Science 58:3158−71 doi: 10.1167/iovs.16-20860

    CrossRef   Google Scholar

    [30] Park HYL, Jung Y, Park CK. 2015. Posterior staphyloma is related to optic disc morphology and the location of visual field defect in normal tension glaucoma patients with myopia. Eye 29:333−41 doi: 10.1038/eye.2014.256

    CrossRef   Google Scholar

    [31] Zhao XJ, Jiang HY, Li YH, Liu BQ, Xu HX, et al. 2018. Correlations between the optic nerve head morphology and ocular biometrics in highly myopic eyes. International Journal of Ophthalmology 11:997−1001 doi: 10.18240/ijo.2018.06.17

    CrossRef   Google Scholar

    [32] Sung MS, Kang YS, Heo H, Park SW. 2016. Optic disc rotation as a clue for predicting visual field progression in myopic normal-tension glaucoma. Ophthalmology 123:1484−93 doi: 10.1016/j.ophtha.2016.03.040

    CrossRef   Google Scholar

    [33] Cheng D, Ruan K, Wu M, Qiao Y, Gao W, et al. 2022. Characteristics of the optic nerve head in myopic eyes using swept-source optical coherence tomography. Investigative Ophthalmology & Visual Science 63:20 doi: 10.1167/iovs.63.6.20

    CrossRef   Google Scholar

    [34] Zhang YQ, Zhang XJ, Shen RY, Zhang Y, Tang FY, et al. 2024. Exploring optical coherence tomography parameters in eyes with myopic tilted disc. Eye and Vision 11:47 doi: 10.1186/s40662-024-00411-3

    CrossRef   Google Scholar

    [35] Bak E, Ha A, Kim YW, Lee J, Han YS, et al. 2020. Ten years and beyond longitudinal change of ß-zone parapapillary atrophy: comparison of primary open-angle glaucoma with normal eyes. Ophthalmology 127:1054−63 doi: 10.1016/j.ophtha.2020.01.057

    CrossRef   Google Scholar

    [36] Vianna JR, Malik R, Danthurebandara VM, Sharpe GP, Belliveau AC, et al. 2016. Beta and gamma peripapillary atrophy in myopic eyes with and without glaucoma. Investigative Ophthalmology & Visual Science 57:3103−11 doi: 10.1167/iovs.16-19646

    CrossRef   Google Scholar

    [37] Wang YX, Jiang R, Wang NL, Xu L, Jonas JB. 2015. Acute Peripapillary Retinal Pigment Epithelium Changes Associated with Acute Intraocular Pressure Elevation. Ophthalmology 122:2022−28 doi: 10.1016/j.ophtha.2015.06.005

    CrossRef   Google Scholar

    [38] Jonas JB, Jonas SB, Jonas RA, Holbach L, Dai Y, et al. 2012. Parapapillary atrophy: histological gamma zone and delta zone. PLoS One 7:e47237 doi: 10.1371/journal.pone.0047237

    CrossRef   Google Scholar

    [39] Jonas JB, Fang Y, Weber P, Ohno-Matsui K. 2018. Parapapillary gamma and delta zones in high myopia. Retina 38:931−38 doi: 10.1097/IAE.0000000000001650

    CrossRef   Google Scholar

    [40] Dai Y, Jonas JB, Huang H, Wang M, Sun X. 2013. Microstructure of parapapillary atrophy: beta zone and gamma zone. Investigative Ophthalmology & Visual Science 54:2013−18 doi: 10.1167/iovs.12-1125

    CrossRef   Google Scholar

    [41] Hu G, Chen Q, Xu X, Lv H, Du Y, et al. 2020. Morphological characteristics of the optic nerve head and choroidal thickness in high myopia. Investigative Ophthalmology & Visual Science 61:46 doi: 10.1167/iovs.61.4.46

    CrossRef   Google Scholar

    [42] Kim M, Choung HK, Lee KM, Oh S, Kim SH. 2018. Longitudinal changes of optic nerve head and peripapillary structure during childhood myopia progression on OCT: boramae myopia cohort study report 1. Ophthalmology 125:1215−23 doi: 10.1016/j.ophtha.2018.01.026

    CrossRef   Google Scholar

    [43] Han JC, Cho SH, Sohn DY, Kee C. 2016. The characteristics of lamina cribrosa defects in myopic eyes with and without open-angle glaucoma. Investigative Ophthalmology & Visual Science 57:486−94 doi: 10.1167/iovs.15-17722

    CrossRef   Google Scholar

    [44] Lee SH, Kim TW, Lee EJ, Girard MJA, Mari JM. 2020. Focal lamina cribrosa defects are not associated with steep lamina cribrosa curvature but with choroidal microvascular dropout. Scientific Reports 10:6761 doi: 10.1038/s41598-020-63681-6

    CrossRef   Google Scholar

    [45] Miki A, Ikuno Y, Asai T, Usui S, Nishida K. 2015. Defects of the lamina cribrosa in high myopia and glaucoma. PLoS One 10:e0137909 doi: 10.1371/journal.pone.0137909

    CrossRef   Google Scholar

    [46] Freund KB, Ciardella AP, Yannuzzi LA, Pece A, Goldbaum M, et al. 2003. Peripapillary detachment in pathologic myopia. Archives of Ophthalmology 121:197−204 doi: 10.1001/archopht.121.2.197

    CrossRef   Google Scholar

    [47] Wei YH, Yang CM, Chen MS, Shih YF, Ho TC. 2009. Peripapillary intrachoroidal cavitation in high myopia: reappraisal. Eye 23:141−44 doi: 10.1038/sj.eye.6702961

    CrossRef   Google Scholar

    [48] Liu R, Li Z, Xiao O, Zhang J, Guo X, et al. 2021. Characteristics of peripapillary intrachoroidal cavitation in highly myopic eyes: the Zhongshan Ophthalmic Center-Brien Holden Vision Institute High Myopia Cohort Study. Retina 41:1057−62 doi: 10.1097/IAE.0000000000002963

    CrossRef   Google Scholar

    [49] Lee MW, Kim JM, Shin YI, Jo YJ, Kim JY. 2019. Longitudinal changes in peripapillary retinal nerve fiber layer thickness in high myopia: a prospective, observational study. Ophthalmology 126:522−28 doi: 10.1016/j.ophtha.2018.07.007

    CrossRef   Google Scholar

    [50] Biswas S, Lin C, Leung CKS. 2016. Evaluation of a myopic normative database for analysis of retinal nerve fiber layer thickness. JAMA Ophthalmology 134:1032−39 doi: 10.1001/jamaophthalmol.2016.2343

    CrossRef   Google Scholar

    [51] Oner V, Aykut V, Tas M, Alakus MF, Iscan Y. 2013. Effect of refractive status on peripapillary retinal nerve fibre layer thickness: a study by RTVue spectral domain optical coherence tomography. British Journal of Ophthalmology 97:75−79 doi: 10.1136/bjophthalmol-2012-301865

    CrossRef   Google Scholar

    [52] Ilhan C, Citirik M. 2021. The impact of optic disk morphological characteristics on peripapillary retinal nerve fiber layer thickness in non-glaucomatous subjects with high myopia. Photodiagnosis and Photodynamic Therapy 35:102355 doi: 10.1016/j.pdpdt.2021.102355

    CrossRef   Google Scholar

    [53] Akashi A, Kanamori A, Nakamura M, Fujihara M, Yamada Y, et al. 2013. The ability of macular parameters and circumpapillary retinal nerve fiber layer by three SD-OCT instruments to diagnose highly myopic glaucoma. Investigative Ophthalmology & Visual Science 54:6025−32 doi: 10.1167/iovs.13-12630

    CrossRef   Google Scholar

    [54] Akashi A, Kanamori A, Ueda K, Inoue Y, Yamada Y, et al. 2015. The ability of SD-OCT to differentiate early glaucoma with high myopia from highly myopic controls and nonhighly myopic controls. Investigative Ophthalmology & Visual Science 56:6573−80 doi: 10.1167/iovs.15-17635

    CrossRef   Google Scholar

    [55] Sezgin Akcay BI, Gunay BO, Kardes E, Unlu C, Ergin A. 2017. Evaluation of the ganglion cell complex and retinal nerve fiber layer in low, moderate, and high myopia: a study by RTVue spectral domain optical coherence tomography. Seminars In Ophthalmology 32:682−88 doi: 10.3109/08820538.2016.1170157

    CrossRef   Google Scholar

    [56] Kang MT, Li SM, Li H, Li L, Li SY, et all. 2016. Peripapillary retinal nerve fibre layer thickness and its association with refractive error in Chinese children: the Anyang Childhood Eye Study. Clinical & Experimental Ophthalmology 44:701−09 doi: 10.1111/ceo.12764

    CrossRef   Google Scholar

    [57] Ucak T, Icel E, Yilmaz H, Karakurt Y, Tasli G, et al. 2020. Alterations in optical coherence tomography angiography findings in patients with high myopia. Eye 34:1129−35 doi: 10.1038/s41433-020-0824-1

    CrossRef   Google Scholar

    [58] Abdolrahimzadeh S, Parisi F, Plateroti AM, Evangelista F, Fenicia V, et al. 2017. Visual acuity, and macular and peripapillary thickness in high myopia. Current Eye Research 42:1468−73 doi: 10.1080/02713683.2017.1347692

    CrossRef   Google Scholar

    [59] Leung CKS, Mohamed S, Leung KS, Cheung CYL, Chan SLW, et al. 2006. Retinal nerve fiber layer measurements in myopia: An optical coherence tomography study. Investigative Ophthalmology & Visual Science 47:5171−76 doi: 10.1167/iovs.06-0545

    CrossRef   Google Scholar

    [60] Hoh ST, Lim MCC, Seah SKL, Lim ATH, Chew SJ, et al. 2006. Peripapillary retinal nerve fiber layer thickness variations with myopia. Ophthalmology 113:773−77 doi: 10.1016/j.ophtha.2006.01.058

    CrossRef   Google Scholar

    [61] Bennett AG, Rudnicka AR, Edgar DF. 1994. Improvements on Littmann's method of determining the size of retinal features by fundus photography. Graefe's Archive for Clinical and Experimental Ophthalmology 232:361−67 doi: 10.1007/BF00175988

    CrossRef   Google Scholar

    [62] Littmann H. 1982. Determination of the real size of an object on the fundus of the living eye. Klinische Monatsblatter Fur Augenheilkunde 180:286−89 doi: 10.1055/s-2008-1055068

    CrossRef   Google Scholar

    [63] Pors LJ, Haasjes C, van Vught L, Hoes NP, Luyten GPM, et al. 2024. Correction method for optical scaling of fundoscopy images: development, validation, and first implementation. Investigative Ophthalmology & Visual Science 65(1):43 doi: 10.1167/iovs.65.1.43

    CrossRef   Google Scholar

    [64] Lee MW, Nam KY, Park HJ, Lim HB, Kim JY. 2020. Longitudinal changes in the ganglion cell-inner plexiform layer thickness in high myopia: a prospective observational study. The British Journal of Ophthalmology 104:604−09 doi: 10.1136/bjophthalmol-2019-314537

    CrossRef   Google Scholar

    [65] Seo S, Lee CE, Jeong JH, Park KH, Kim DM, et al. 2017. Ganglion cell-inner plexiform layer and retinal nerve fiber layer thickness according to myopia and optic disc area: a quantitative and three-dimensional analysis. BMC ophthalmology 17:22 doi: 10.1186/s12886-017-0419-1

    CrossRef   Google Scholar

    [66] Kudsieh B, Fernández-Vigo JI, Flores-Moreno I, Ruiz-Medrano J, Garcia-Zamora M, et al. 2023. Update on the utility of optical coherence tomography in the analysis of the optic nerve head in highly myopic eyes with and without glaucoma. Journal of Clinical Medicine 12:2592 doi: 10.3390/jcm12072592

    CrossRef   Google Scholar

    [67] Seol BR, Jeoung JW, Park KH. 2015. Glaucoma detection ability of macular ganglion cell-inner plexiform layer thickness in myopic preperimetric glaucoma. Investigative Ophthalmology & Visual Science 56:8306−13 doi: 10.1167/iovs.15-18141

    CrossRef   Google Scholar

    [68] Zhao Z, Jiang C. 2013. Effect of myopia on ganglion cell complex and peripapillary retinal nerve fibre layer measurements: a Fourier-domain optical coherence tomography study of young Chinese persons. Clinical & Experimental Ophthalmology 41:561−66 doi: 10.1111/ceo.12045

    CrossRef   Google Scholar

    [69] He J, Chen Q, Yin Y, Zhou H, Fan Y, et al. 2019. Association between retinal microvasculature and optic disc alterations in high myopia. Eye 33:1494−503 doi: 10.1038/s41433-019-0438-7

    CrossRef   Google Scholar

    [70] Lei J, Fan Y, Wu Y, Yuan S, Ye Y, et al. 2023. Microvascular Alterations of Peripapillary Choriocapillaris in Young Adult High Myopia Detected by Optical Coherence Tomography Angiography. Journal of Personalized Medicine 13:289 doi: 10.3390/jpm13020289

    CrossRef   Google Scholar

    [71] Lin T, Su L, Lin J, Qiu H. 2021. Study on the optic nerve fiber layer thickness and changes in blood flow in myopic children. International Journal of General Medicine 14:3287−93 doi: 10.2147/IJGM.S317476

    CrossRef   Google Scholar

    [72] Yaprak AC, Yaprak L. 2021. Retinal microvasculature and optic disc alterations in non-pathological high myopia with optical coherence tomography angiography. Graefe's Archive for Clinical and Experimental Ophthalmology 259:3221−27 doi: 10.1007/s00417-021-05216-x

    CrossRef   Google Scholar

    [73] Ng DSC, Cheung CYL, Luk FO, Mohamed S, Brelen ME, et al. 2016. Advances of optical coherence tomography in myopia and pathologic myopia. Eye 30:901−16 doi: 10.1038/eye.2016.47

    CrossRef   Google Scholar

    [74] Spaide RF, Fujimoto JG, Waheed NK. 2015. Image artifacts in optical coherence tomography angiography. Retina 35:2163−80 doi: 10.1097/IAE.0000000000000765

    CrossRef   Google Scholar

    [75] Fu D, Li M, Zeng L, Shang J, Yu Z, et al. 2021. The role of magnification correction in macular vessel density assessment: a contralateral eye study in anisometropia patients. Annals of Translational Medicine 9:380 doi: 10.21037/atm-20-5698

    CrossRef   Google Scholar

    [76] Garway-Heath DF, Crabb DP, Bunce C, Lascaratos G, Amalfitano F, et al. 2015. Latanoprost for open-angle glaucoma (UKGTS): a randomised, multicentre, placebo-controlled trial. Lancet 385:1295−304 doi: 10.1016/S0140-6736(14)62111-5

    CrossRef   Google Scholar

    [77] Fledelius HC, Jacobsen N, Li XQ, Goldschmidt E. 2019. The longitudinal danish high myopia study, cohort 1948: at age 66 years visual ability is only occasionally affected by visual field defects. Acta Ophthalmologica 97:36−43 doi: 10.1111/aos.13820

    CrossRef   Google Scholar

    [78] Li C, Chen Y, Yang S, Xiong R, Liu R, et al. 2024. Long-term prediction and risk factors for incident visual field defect in nonpathologic high myopia. Investigative Ophthalmology & Visual Science 65(10):43 doi: 10.1167/iovs.65.10.43

    CrossRef   Google Scholar

    [79] Lin F, Chen S, Song Y, Li F, Wang W, et al. 2022. Classification of Visual field abnormalities in highly myopic eyes without pathologic change. Ophthalmology 129:803−12 doi: 10.1016/j.ophtha.2022.03.001

    CrossRef   Google Scholar

    [80] Ding X, Chang RT, Guo X, Liu X, Johnson CA, et al. 2016. Visual field defect classification in the Zhongshan Ophthalmic Center-Brien Holden Vision Institute High Myopia Registry Study. British Journal of Ophthalmology 100:1697−702 doi: 10.1136/bjophthalmol-2015-307942

    CrossRef   Google Scholar

    [81] Ohno-Matsui K, Shimada N, Yasuzumi K, Hayashi K, Yoshida T, et al. 2011. Long-term development of significant visual field defects in highly myopic eyes. American Journal of Ophthalmology 152:256−265.e1 doi: 10.1016/j.ajo.2011.01.052

    CrossRef   Google Scholar

    [82] Ma F, Dai J, Sun X. 2014. Progress in understanding the association between high myopia and primary open-angle glaucoma. Clinical & Experimental Ophthalmology 42:190−97 doi: 10.1111/ceo.12158

    CrossRef   Google Scholar

    [83] Mochida S, Yoshida T, Nomura T, Hatake R, Ohno-Matsui K. 2022. Association between peripheral visual field defects and focal lamina cribrosa defects in highly myopic eyes. Japanese Journal of Ophthalmology 66:285−95 doi: 10.1007/s10384-022-00909-0

    CrossRef   Google Scholar

    [84] Shoeibi N, Moghadas Sharif N, Daneshvar R, Ehsaei A. 2017. Visual field assessment in high myopia with and without tilted optic disc. Clinical & Experimental Optometry 100:690−94 doi: 10.1111/cxo.12511

    CrossRef   Google Scholar

    [85] Schilling T, Amorim-de-Sousa A, Wong NA, Bahmani H, González-Méijome JM, et al. 2022. Increase in b-wave amplitude after light stimulation of the blind spot is positively correlated with the axial length of myopic individuals. Scientific Reports 12:4785 doi: 10.1038/s41598-022-08319-5

    CrossRef   Google Scholar

    [86] Liu X, Wang Y, Ying X, Zhang F, Huang J, et al. 2022. Contrast sensitivity is associated with chorioretinal thickness and vascular density of eyes in simple early-stage high myopia. Frontiers in Medicine 9:847817 doi: 10.3389/fmed.2022.847817

    CrossRef   Google Scholar

    [87] Kader MA. 2012. Electrophysiological study of myopia. Saudi Journal of Ophthalmology 26:91−99 doi: 10.1016/j.sjopt.2011.08.002

    CrossRef   Google Scholar

    [88] Sachidanandam R, Ravi P, Sen P. 2017. Effect of axial length on full-field and multifocal electroretinograms. Clinical & Experimental Optometry 100:668−75 doi: 10.1111/cxo.12529

    CrossRef   Google Scholar

    [89] Li S, Li M, Wu J, Li Y, Han J, et al. 2024. Developing and validating a clinlabomics-based machine-learning model for early detection of retinal detachment in patients with high myopia. Journal of Translational Medicine 22:405 doi: 10.1186/s12967-024-05131-9

    CrossRef   Google Scholar

    [90] Li Y, Feng W, Zhao X, Liu B, Zhang Y, et al. 2022. Development and validation of a deep learning system to screen vision-threatening conditions in high myopia using optical coherence tomography images. British Journal of Ophthalmology 106:633−39 doi: 10.1136/bjophthalmol-2020-317825

    CrossRef   Google Scholar

    [91] Zhang J, Xiao F, Zou H, Feng R, He J. 2024. Self-supervised learning-enhanced deep learning method for identifying myopic maculopathy in high myopia patients. iScience 27:110566 doi: 10.1016/j.isci.2024.110566

    CrossRef   Google Scholar

    [92] Zuo H, Huang B, He J, Fang L, Huang M. 2025. Machine learning approaches in high myopia: systematic review and meta-analysis. Journal of Medical Internet Research 27:e57644 doi: 10.2196/57644

    CrossRef   Google Scholar

    [93] Cheng J, Liu J, Wong DWK, Yin F, Cheung C, et al. Automatic optic disc segmentation with peripapillary atrophy elimination. 2011 Annual International Conference of the IEEE Engineering in Medicine and Biology Society, 2011, Boston, MA, USA. pp. 6224−27. USA: IEEE. doi: 10.1109/IEMBS.2011.6091537
    [94] Lu CK, Tang TB, Laude A, Dhillon B, Murray AF. 2012. Parapapillary atrophy and optic disc region assessment (PANDORA): retinal imaging tool for assessment of the optic disc and parapapillary atrophy. Journal of biomedical optics 17:106010−10 doi: 10.1117/1.JBO.17.10.106010

    CrossRef   Google Scholar

    [95] Joshi GD, Sivaswamy J, Prashanth R, Krishnadas S. 2012. Detection of peri-papillary atrophy and RNFL defect from retinal images. Image Analysis and Recognition. ICIAR 2012. Lecture Notes in Computer Science. vol 7325. Berlin, Heidelberg: Springer. pp. 400−7. doi: 10.1007/978-3-642-31298-4_47
    [96] Cho BH, Lee DY, Park KA, Oh SY, Moon JH, et al. 2020. Computer-aided recognition of myopic tilted optic disc using deep learning algorithms in fundus photography. BMC ophthalmology 20:407 doi: 10.1186/s12886-020-01657-w

    CrossRef   Google Scholar

    [97] Ota-Itadani M, Takahashi H, Mao Z, Igarashi-Yokoi T, Yoshida T, et al. 2022. Deep learning-based 3D OCT imaging for detection of lamina cribrosa defects in eyes with high myopia. Scientific Reports 12:22195 doi: 10.1038/s41598-022-26520-4

    CrossRef   Google Scholar

    [98] Li F, Wang D, Yang Z, Zhang Y, Jiang J, et al. 2024. The AI revolution in glaucoma: Bridging challenges with opportunities. Progress in Retinal and Eye Research 103:101291 doi: 10.1016/j.preteyeres.2024.101291

    CrossRef   Google Scholar

    [99] Li M, Wan C. 2022. The use of deep learning technology for the detection of optic neuropathy. Quantitative Imaging In Medicine and Surgery 12:2129−43 doi: 10.21037/qims-21-728

    CrossRef   Google Scholar

    [100] Liu H, Li L, Wormstone IM, Qiao C, Zhang C, et al. 2019. Development and validation of a deep learning system to detect glaucomatous optic neuropathy using fundus photographs. JAMA Ophthalmology 137:1353−60 doi: 10.1001/jamaophthalmol.2019.3501

    CrossRef   Google Scholar

    [101] Gende M, de Moura J, Robles P, Fernández-Vigo J, Martínez-de-la-Casa JM, et al. 2024. Circumpapillary OCT-based multi-sector analysis of retinal layer thickness in patients with glaucoma and high myopia. Computerized Medical Imaging and Graphics 118:102464 doi: 10.1016/j.compmedimag.2024.102464

    CrossRef   Google Scholar

    [102] Shin HJ, Park HYL, Ryu HK, Oh SE, Kim SA, et al. 2024. Clinical characteristics and associated factors to the development of glaucoma in eyes with myopic optic neuropathy. American Journal of Ophthalmology 260:160−71 doi: 10.1016/j.ajo.2024.01.001

    CrossRef   Google Scholar

    [103] Bikbov MM, Iakupova EM, Gilmanshin TR, Bikbova GM, Kazakbaeva GM, et al. 2023. Prevalence and associations of nonglaucomatous optic nerve atrophy in high myopia: the ural eye and medical study. Ophthalmology 130:1174−81 doi: 10.1016/j.ophtha.2023.07.014

    CrossRef   Google Scholar

    [104] Liao L, Fang R, Fang F, Zhu XH. 2021. Clinical observations of acute onset of myopic optic neuropathy in a real-world setting. International Journal of Ophthalmology 14:461−67 doi: 10.18240/ijo.2021.03.21

    CrossRef   Google Scholar

    [105] KhalafAllah MT, Fuchs PA, Nugen F, El Hamdaoui M, Levy AM, et al. 2024. Heterogenous thinning of peripapillary tissues occurs early during high myopia development in juvenile tree shrews. Experimental Eye Research 240:109824 doi: 10.1016/j.exer.2024.109824

    CrossRef   Google Scholar

    [106] She Z, Beach KM, Hung LF, Ostrin LA, Smith EL III, et al. 2024. Optic nerve head morphology and macula ganglion cell inner plexiform layer thickness in axially anisometropic rhesus monkeys. Investigative Ophthalmology & Visual Science 65:44 doi: 10.1167/iovs.65.10.44

    CrossRef   Google Scholar

    [107] He HL, Liu YX, Liu H, Zhang X, Song H, et al. 2024. Deep learning-enabled vasculometry depicts phased lesion patterns in high myopia progression. Asia-Pacific Journal of Ophthalmology 13:100086 doi: 10.1016/j.apjo.2024.100086

    CrossRef   Google Scholar

    [108] Meng J, Song Y, He W, Lu ZL, Chen Y, et al. 2024. A novel artificial intelligence-based classification of highly myopic eyes based on visual function and fundus features. Translational Vision Science & Technology 103:17411 doi: 10.1111/aos.17411

    CrossRef   Google Scholar

    [109] Yang HK, Kim YJ, Sung JY, Kim DH, Kim KG, et al. 2020. Efficacy for differentiating nonglaucomatous versus glaucomatous optic neuropathy using deep learning systems. American Journal of Ophthalmology 216:140−46 doi: 10.1016/j.ajo.2020.03.035

    CrossRef   Google Scholar

    [110] Vali M, Mohammadi M, Zarei N, Samadi M, Atapour-Abarghouei A, et al. 2023. Differentiating glaucomatous optic neuropathy from non-glaucomatous optic neuropathies using deep learning algorithms. American Journal of Ophthalmology 252:1−8 doi: 10.1016/j.ajo.2023.02.016

    CrossRef   Google Scholar

  • Cite this article

    Chen X, Chen Y, Ding X, Wang Y, Shi D, et al. 2025. Optic neuropathy in high myopia. Visual Neuroscience 42: e008 doi: 10.48130/vns-0025-0007
    Chen X, Chen Y, Ding X, Wang Y, Shi D, et al. 2025. Optic neuropathy in high myopia. Visual Neuroscience 42: e008 doi: 10.48130/vns-0025-0007

Figures(3)

Article Metrics

Article views(2475) PDF downloads(776)

PERSPECTIVE   Open Access    

Optic neuropathy in high myopia

Visual Neuroscience  42 Article number: e008  (2025)  |  Cite this article

Abstract: Myopia, particularly high myopia, has become a significant global public health issue due to its increasing prevalence. High myopia is associated with various ocular complications, including early-onset cataracts, glaucoma, retinal detachment, and myopic maculopathy, yet optic nerve damage is often overlooked. This article reviews the morphological changes in the optic disc, peripapillary region, and retinal layers, along with the relevant functional defects. Additionally, recent advancements in artificial intelligence (AI)-related research in this field are summarized. The article also highlights the need for developing a standardized grading and classification system for high-myopic optic neuropathy, supported by large-scale, high-quality longitudinal cohort studies to explore the relationships between myopic optic neuropathy and other complications, experimental research to uncover the underlying mechanisms of optic nerve damage, and the integration of AI - all of which are essential for improving diagnostic accuracy, monitoring, and treatment strategies for high myopia patients at risk of progressive vision loss.

    • High myopia is an extreme form of myopia, typically defined as a condition in which the spherical equivalent (SE) refractive error of an eye is ≤ −6.00 D when ocular accommodation is relaxed[1]. High myopia accounts for around 10-20% of myopes and has a high incidence, exceeding 2% in junior high school[2,3]. In recent decades, the prevalence of myopia and high myopia among school-aged children has surged dramatically[3,4]. It is estimated that by 2050, nearly half of the global population will be affected by myopia, with a quarter of the population suffering from high myopia[4,5].

      High myopia is closely associated with the risk of developing sight-threatening pathologies[6,7], including early-onset cataracts, glaucoma, retinal detachment, posterior staphyloma, and myopic maculopathy[812]. Studies have shown that high myopia is a major risk factor for glaucoma, with a 7.3-fold increase in risk compared to emmetropic eyes[13]. The risk accelerates starting at −6.00 D and increases more sharply beyond −8.00 D[14]. However, while high myopia and glaucoma both cause optic nerve damage, optic nerve changes associated with high myopia have been less thoroughly investigated in the literature. Advances in imaging technologies, such as optical coherence tomography (OCT) and optical coherence tomographic angiography (OCTA), have facilitated the study of progressive changes in eyes with high myopia, including alterations in the optic nerve head (ONH) and thinning of the retinal nerve fiber layer (RNFL)[15]. Standardized definitions and consensus regarding the morphological and functional changes of the optic nerve in highly myopic eyes are urgently required with these technological advancements.

      Therefore, this paper summarizes optic neuropathy associated with high myopia, including the morphological changes in the optic disc, peripapillary region, and retinal layers, as well as the functional changes associated with myopic optic neuropathy (MON). Furthermore, artificial intelligence (AI)-driven research on MON is reviewed, with a discussion of the challenges and future directions. By deepening the understanding of MON, this work aims to pave the way for more effective diagnostic and management strategies.

    • The optic disc, defined as the entirety encompassing the lamina cribrosa (LC) at its base, can be characterized morphologically by its size and shape[16].

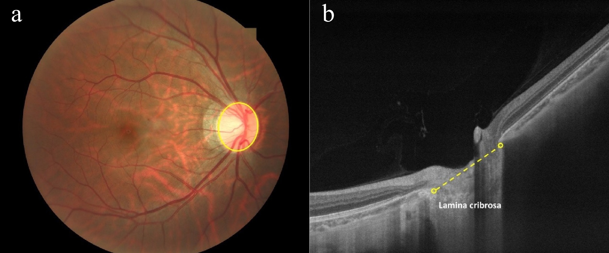
      Optic disc size, when observed in color fundus photography (CFP), refers to the visible part of the neuroretinal rim and optic cup, while in OCT, the optic disc margin is defined by the end of the LC, specifically the peripapillary Elschnig border tissue of the peripapillary scleral flange (Fig. 1)[17,18]. Compared to normal ONHs, high myopic eyes (myopic refraction of less than −8.00 D) typically have larger discs[19]. However, some studies have reported a reduction in CFP disc size in high myopia, with a prevalence rate of 33.7%[18]. This difference may be related to changes in Bruch's membrane opening (BMO) during axial elongation: in high myopic eyes, BMO shifts toward the fovea, causing Bruch's membrane (BM) to overhang into the nasal intrapapillary region, obstructing the visibility of the optic cup in the nasal area and making the optic disc appear smaller. As axial elongation progresses, BMO not only shifts but also recedes, exposing the LC, which leads to an increase in the CFP-visible part of the optic disc. Another factor contributing to optic disc enlargement is the elongation and thinning of the LC itself[16]. These changes can reduce the distance between intraocular pressure (IOP) and retrobulbar pressure, steepening the pressure gradient and increasing the risk of glaucoma-like optic neuropathy[17].

      Figure 1. 

      Optic disc size definitions in different ophthalmic modalities. (a) Color fundus photography: The optic disc is outlined by the visible part of the neuroretinal rim and optic cup (yellow oval). (b) Optical coherence tomography: The optic disc size is measured at the end of the lamina cribrosa, specifically the peripapillary Elschnig border tissue of the peripapillary scleral flange (yellow dashed line). (Source: Personal fundus images provided by Mr. Jinze Zhang, Sun Yat-sen University).

      Changes in optic disc shape are primarily characterized by tilting (or ovality) and rotation (or torsion). Due to axial elongation-induced tension on the sclera, the optic disc may tilt, often accompanied by rotation. This rotation misaligns the vertical or horizontal axis of the disc, making it appear oval rather than the typical round shape[20]. The definition of optic disc tilting varies across studies. Early criteria included Fuchs' coloboma, inverse-type vessels, or subjective elevation of one disc margin over the opposite margin[2123]. A commonly used criterion is the ratio between the longest and shortest diameters of the disc[2426]. Patients with a tilting ratio exceeding 1.30 are typically classified as having tilted discs[27]. Temporal and superotemporal tilt are the two main directions of disc tilt[28]. The rate of optic disc tilting in high myopic eyes may vary by ethnicity. For example, 81.2% of Chinese patients with high myopia exhibit optic disc tilting, while 57.4% was observed in Singaporean patients using the same criteria[20,24]. However, the age groups in these two studies were not identical, and both populations were Asian, suggesting the need for more diverse population data to support the conclusion. The degree of disc tilt also varies among different ethnicities, with Asian eyes showing the greatest tilt and White eyes showing the least[29]. The degree of disc tilting has been shown to correlate with longer axial length (AL), higher SE, and the presence of posterior staphyloma in high myopia[30,31]. The definition of optic disc rotation lacks strict standardization and is typically defined by the angle between the long axis of the disc and the vertical meridian. Some studies consider a rotation greater than 0° as rotated and a rotation exceeding 15° as 'significant'[27,32]. However, more commonly, a rotation with > 15° indicates rotation. A positive value denotes clockwise rotation, while a negative value indicates counterclockwise rotation in the right eye[33]. Li et al.[20] reported that 48.3% of Chinese patients with high myopia had rotated optic discs, with inferior rotation being the most common (85.5%). Greater absolute cylindrical power was identified as a risk factor for a higher degree of rotation. Another study indicated that the torsional direction of the optic disc was associated with variations in RNFL measurements[34]. For instance, a more temporally directed optic disc torsion angle was correlated with thicker temporal RNFL and thinner superior RNFL, suggesting a redistribution effect rather than an overall loss.

    • Parapapillary zones, previously described as peripapillary atrophy (PPA), are commonly seen in myopia but are not exclusive to myopic optic neuropathy (MON); they can also occur in myopia-associated glaucoma (MAG)[16]. The significance of different types of parapapillary zones, including beta, gamma, and delta zones, is key to understanding the pathology of both conditions (Fig. 2). The beta zone, characterized by the presence of BM and absence of retinal pigment epithelium (RPE), is linked to an increased risk of glaucomatous damage[35]. Studies show that myopic glaucoma patients exhibit significantly larger beta zones compared to myopic controls[36]. This may be due to mechanical stress at the optic disc border, associated with changes in IOP, leading to RPE cell loss and beta zone formation.[37] The gamma zone, defined as the area around the optic disc where BM and RPE are absent, is strongly associated with myopia, particularly with axial elongation of the eye[38]. An epidemiological study in Tokyo found detection rates of 71.5% for gamma zones in individuals aged 13−90 with high myopia[39]. The gamma zone increases significantly with AL, and this relationship is nonlinear, with a sharp rise in prevalence once AL reaches about 26.5 mm[40]. Research indicates that myopic glaucoma patients tend to have smaller gamma zones than myopic controls[36]. Although there are differences in the size and distribution of the beta and gamma zones between MON and MAG, these features do not significantly aid in distinguishing the two conditions, at least in Caucasian populations[36]. Further studies in different ethnic groups may provide more insights. The delta zone, considered part of the gamma zone, refers to the thinning and elongation of the peripapillary scleral flange[17]. This zone may affect the biomechanical stability of the LC, increasing glaucoma susceptibility in high myopia[38].

      Figure 2. 

      Illustration of different parapapillary zones in color fundus photography. (a) Beta zone (green arrows) refers to the presence of Bruch's membrane (BM) and the absence of retinal pigment epithelium (RPE). (b) Gamma zone (red arrows) refers to the area around the optic disc where BM and RPE are absent; Delta zone (black arrows) refers to the thinning and elongation of peripapillary scleral flange. (Source: HPMI database, https://doi.org/10.6084/m9.figshare.24800232.v1).

      In addition to parapapillary zones, several studies have investigated ultrastructural changes related to BM in high myopia, including Bruch's membrane opening distance (BMOD), border length (BL), border tissue angle (BTA), focal LC defects, and peripapillary intrachoroidal cavitation (PICC) (Fig. 3). The BMOD is defined as the distance between the two points of the BMO on a horizontal B-scan, taken across the midpoint of the optic disc's longest axis. The BL refers to the straight-line distance from the temporal BMO point to the border tissue and the scleral termination. The BTA is defined as the angle formed between the reference plane of the BMO and the border tissue[33]. Hu et al.[41] found that in young adults aged 16−28 years with high myopia, BMOD and BL were longer, while BTA was smaller. Axial length (AL) was positively correlated with BMOD and BL and negatively correlated with BTA. As myopia progresses, the increase in BMOD and the decrease in BTA precede the expansion of the PPA area and subsequent globe deformation. This suggests that, compared to the PPA, BMOD and BTA were considered earlier indicators of fundus changes in high myopia. In contrast, a study by Kim et al.[42] in children aged 6.7−12.5 years found that during changes in the ONH and PPA, BL increased nasally, and BTA decreased, whereas BMOD remained relatively stable. They suggested that in children, physiological growth might counterbalance rapid axial elongation, and structural changes in BMOD may not be as pronounced at this stage.

      Figure 3. 

      Illustration of Bruch's membrane opening distance (BMOD), border length (BL), and border tissue angle (BTA) in optical coherence tomography. BMOD refers to the distance between the two points of the Bruch's membrane opening (BMO) on a horizontal B-scan; BL refers to the straight-line distance from the temporal BMO point to the border tissue and the scleral termination; BTA refers to the angle formed between the BMOD line and the BL line. (Source: Personal fundus images provided by Mr. Jinze Zhang, Sun Yat-sen University).

      Focal LC defects are defined as irregularities in the anterior laminar surface that disrupt the normal smooth, curvilinear contour, with a maximal diameter greater than 100 µm and a depth greater than 30 µm, visible in at least two neighboring line scans[43]. Previous studies have shown that such defects play a key role in the development and progression of glaucomatous optic neuropathy, typically associated with increased IOP and optic disc remodeling, reflecting the neurodegenerative pathological features of glaucoma[43,44]. Notably, LC defects can also occur in myopic eyes independent of glaucoma, potentially caused by axial elongation and increased pressure on the ONH. While myopia itself may not worsen LC defects in glaucoma patients, it could indirectly increase glaucoma risk by enhancing the optic disc's sensitivity to IOP[45].

      Peripapillary intrachoroidal cavitation (PICC), originally described as peripapillary detachment in pathologic myopia, refers to cavitated spaces within the peripapillary choroid[46,47]. In Chinese high myopia cohorts, PICC prevalence is 3.6%, predominantly inferior to the optic disc (87.5%). The underlying mechanism may involve progressive scleral stretching secondary to axial elongation. Multiple factors demonstrate associations with PICC presence, including advanced age, longer AL, greater SE, higher stages of myopic maculopathy, and the existence of posterior staphyloma[48].

    • Change in RNFL is a key feature of high myopia, occurring both in the peripapillary region and the macular area[49,50]. Several studies have demonstrated that the peripapillary RNFL (pRNFL) is thinner in myopic eyes compared to healthy controls[51,52]. This thinning exhibits sectoral variations, with the inferior, superior, and nasal quadrants being thinner, while the temporal quadrant often shows increased thickness. Regarding the macular RNFL, studies suggest that its thickness may increase. This increase is likely due to the temporary displacement of the RNFL toward the macula during axial elongation[53,54]. Sezgin et al.[55] explained that the papillomacular bundles are located in the temporal quadrant, and as myopia progresses, the superotemporal and inferotemporal RNFL bundles converge temporally, which helps preserve temporal RNFL thickness despite axial elongation. Additionally, the reduction in mean pRNFL thickness in high myopia is notably more pronounced within a two-year period compared to normal eyes[49], indicating that pRNFL thickness may be more sensitive to temporal changes in high myopia. As for the correlation between RNFL and other myopia parameters, studies show that RNFL thickness decreases with increasing AL and higher myopia[56,57]. Abdolrahimzadeh et al. demonstrated that in high myopia patients without myopic maculopathy, overall pRNFL thickness is an independent predictor of best-corrected visual acuity[58], further emphasizing the clinical relevance of pRNFL changes in high myopia. It is worth noting that the elongation of the AL can lead to a reverse magnification effect in OCT image measurements, which may result in deviations in the RNFL thickness[51]. This could be one reason why some early studies found no change in RNFL thickness in patients with high myopia[59,60]. Littmann or Bennett's formulas, by quantifying the relationship between AL and optical parameters, can partially correct measurement errors[61,62]. However, since the Bennett-Littmann method primarily accounts for AL alone, the incorporation of additional optical elements of the eye (e.g., corneal curvature, lens thickness) may further improve the estimation of magnification effects[63]. Future standardization should involve establishing stratified normative databases across AL intervals to optimize correction coefficients, ultimately enabling precise evaluation of authentic RNFL changes in high myopia populations.

    • High myopia also affects the ganglion cell-inner plexiform layer (GC-IPL), which consists of ganglion cell bodies and dendrites[55]. High myopic eyes tend to have thinner GC-IPL and a significantly greater reduction in GC-IPL over a 3-year period when compared with normal eyes[64]. This thinning is uneven across quadrants. Seo et al.[65] found that the GC-IPL in the temporal region was thinner than in the nasal region in myopic eyes, suggesting that the temporal region may be more affected by axial elongation. Changes in macular GC-IPL thickness in high myopia may offer greater diagnostic and glaucoma progression-monitoring potential than peripapillary RNFL thickness[66]. For instance, studies have identified inferotemporal macular GC-IPL thickness as the best parameter for the detection of preperimetric glaucoma in myopic eyes, distinguishing glaucoma in myopia[67]

      Other studies combined the GC-IPL and the RNFL into the ganglion cell complex (GCC) for analysis, using parameters including GCC values, focal loss volume (FLV) and global loss volume (GLV). GCC values refer to the distance from the internal limiting membrane to the inner plexiform layer; FLV represents the percentage of significant GCC loss within the mapped area, while GLV indicates the overall tissue loss in the region[55,68]. Compared to moderate and low myopia, high myopia exhibits significantly lower average, superior, and inferior GCC values, along with FLV and GLV[55]. Zhao et al.[68] explored the relationship between GCC parameters and AL and found that the average and inferior GCC thicknesses were significantly correlated with AL. This relationship between GCC and AL is similar to that observed between RNFL thickness and AL, likely due to axial elongation and thinning of the ocular wall, leading to a relatively thinner GCC in high myopia[55].

    • Studies have focused on changes in ocular blood flow in myopia, using OCTA to automatically identify and record key metrics of retinal and choroidal vascular circulation, such as vessel density (VD) and microvascular dropout (MvD)[6972]. Radial peripapillary capillary vessel density (RPC-VD) is a common parameter of retinal blood flow, with VD representing the length of vessels per unit area and reflecting the number of blood vessels. Studies have shown that RPC-VD is reduced in high myopic adults and negatively correlated with AL[69]. Similar findings have been observed in children. Lin et al.[71] reported that RPC-VD was lower in high myopic children than in emmetropic children, except in the temporal region. Furthermore, RPC-VD in the nasal inferior, nasal superior and superior nasal regions adjacent to the optic disc was negatively associated with AL. Two main hypotheses have been proposed to explain the mechanism of reduced retinal VD: one suggests that excessive axial elongation leads to retinal thinning, which in turn reduces oxygen demand and decreases blood circulation; the other argues that axial elongation simultaneously causes retinal thinning and a reduction in VD. Despite the lower peripapillary VD, high myopia patients show similar values for inside disc vessel density (iVD) compared to normal controls[70]. This suggests that the reduction in VD is more closely related to axial elongation rather than a direct consequence of thinning of posterior pole structures (retina, sclera, and choroid). However, the causal relationship between these factors remains unclear—whether morphological changes precede microvascular alterations or occur simultaneously requires further investigation[72]. Notably, the elongated AL in high myopia poses inherent imaging challenges. Morphological changes, such as staphyloma, can disrupt segmentation algorithms, causing misalignment of retinal layers and subsequent distortion of VD measurements[73,74]. Fu et al.[75] proposed a magnification correction approach for macular VD quantification in high myopia. However, their findings from a small cohort (n = 47) need to be validated in larger, multicenter studies. Future protocols should integrate AL-adjusted OCTA calibration, high myopia-specific segmentation benchmarks, and advanced artefact correction algorithms to measure microvascular changes accurately.

      In addition to retinal vascular changes, studies have also explored choroidal capillary circulation in high myopia. MvD refers to small dark areas in fundus blood vessels seen in OCTA images, representing gaps between capillaries and reflecting microvascular changes in the choroid of high myopic eyes. Lei et al.[70] found that MvD is more common in high myopia patients than in those with mild to moderate myopia, and this is associated with factors such as age, AL, SE, and PPA-beta area.

    • Morphological changes in high myopia often correspond to functional changes, and visual field defect (VFD) is an important functional indicator for assessing optic nerve damage[76]. The prevalence of VFD in high myopic individuals may vary by region. For example, in Denmark, 42% of high myopic individuals exhibited VFD over a 10-year period[77]. Another 8-year study in China found that 49.4% of non-pathological high myopic eyes developed VFD.[78] The Glaucoma Suspects with High Myopia Study Group proposed a novel classification system to describe VFD patterns in non-pathologic high myopia[79]. The VFD patterns are categorized into three types: glaucoma-like defects (paracentral defect, nasal step, partial arcuate defect, arcuate defect), high myopia-related defects (enlarged blind spot, vertical step, partial peripheral rim, nonspecific defect), and combined defects (nasal step with enlarged blind spot). Furthermore, Li et al.[78] reported the long-term patterns of VFD development in individuals with non-pathological high myopia using the same classification system. They found that enlarged blind spots and nonspecific defects were the most common visual field abnormalities, followed by nasal step defects, partial arcuate defects, paracentral defects, and other types of VFD. Enlarged blind spots may be attributed to parapapillary zones and/or optic disc tilting[80], causing the optic disc margin to extend beyond the normal blind spot in static visual field testing. Nonspecific defects may result from the irregular stretching and distortion of the RNFL during the progression of high myopia[81]. Nasal step, partial arcuate defects, and paracentral defects are also commonly observed in glaucoma patients. Some studies suggest that the progression of high myopia and glaucoma may not be independent, but may interact with each other[82], although this relationship requires further investigation. Regarding the relationship between VFD and high myopia morphological parameters, longer AL, thinner central corneal thickness, worse mean deviation of the visual field, and the presence of peripapillary gamma-zone at baseline were identified as major predictors for VFD development[78]. ONH changes, such as LC defects, may promote axonal damage and visual field impairment[83]. However, there was no significant difference in visual field parameters between high myopic patients with or without tilted discs[84].

    • In addition to VFD, several studies have explored other functional indicators of high myopia, such as electroretinogram (ERG) and contrast sensitivity function (CSF) changes[85,86]. ERG studies report that the b-wave implicit time is prolonged in high myopic patients[87], and further research has shown that b-wave amplitude is negatively correlated with AL[88]. Liu et al. found reduced CSF in high myopic individuals, and it was associated with outer retinal thickness and retinal deep vascular density[86]. However, research on these functional changes is still limited and needs further investigation.

    • The rapid development of multimodal ocular imaging technologies has led to a substantial increase in high myopia data, presenting new opportunities for MON analysis. Deep learning, particularly convolutional neural networks (CNNs) and Transformer models has demonstrated significant advantages in predicting high myopia progression and identifying associated complications, especially in detecting and grading myopic maculopathy[8992]. Foundational progress has been made in MON-related morphological and functional investigations. Early studies commonly employed deep learning algorithms for automated segmentation and parameter extraction of key anatomical structures in high myopia, including optic disc, PPA, and RNFL[9395]. For example, Cho et al.[96] developed an AI-based system for detecting optic disc tilt, effectively addressing the limitations of time-consuming analysis and inter-observer variability in traditional clinical practice. Additionally, AI systems excel at detecting subtle morphological features that may be overlooked in routine clinical examinations. A study using CNNs established a three-dimensional (3D) OCT diagnostic model for detecting LC defects[97], enabling more precise characterization of defect morphology and spatial localization. Regarding functional changes in high myopia, Li et al.[78] have developed prediction models to differentiate the development of VFD.

      A key challenge in current AI research on MON is the lack of standardized diagnostic criteria and specialized datasets, which hinders large-scale labeling efforts. Additionally, phenotypic overlap with glaucoma-related optic neuropathy (GON) often leads to the misclassification of MON as false-positive glaucoma in existing studies. However, methodological insights from AI research on glaucoma and other optic neuropathies could inform AI applications in MON[98,99]. For instance, existing techniques for ONH identification, localization, and extraction could be adapted through transfer learning to detect myopic optic discs, with algorithmic optimizations tailored to the characteristic tilt and morphological variations in high myopia to enhance detection accuracy[100]. Moreover, methodological frameworks for modeling RNFL abnormalities could provide valuable insights into AL-related changes in high myopia[101].

    • Myopic optic neuropathy (MON) is a crucial area requiring further research. Currently, no unified definition exists for optic nerve damage associated with high myopia. The International Myopia Institute (IMI) Clinical Summary defines myopia-associated glaucoma (MAG)-like optic neuropathy as optic neuropathy characterized by a loss of neuroretinal rim and enlargement of the optic cup, occurring in highly myopic eyes with a secondary macro disc or peripapillary delta zone at normal IOP[1]. However, MON is not limited to glaucoma-like optic nerve damage. More recently, Shin et al.[102] defined MON as myopic eyes with nonglaucomatous RNFL and visual field (VF) damage, characterized by superonasal or nasal RNFL thinning and corresponding inferotemporal VF defects. However, the above definition does not include additional morphological changes such as ONH size and shape, gamma zone, ganglion cell changes, and microvascular changes. To better understand and manage MON, it is crucial to establish a population-based database of morphological and functional parameters for high myopia, and to develop a standardized grading and classification system.

      Myopic optic nerve damage often coexists with glaucoma, complicating the disease research and clinical differential diagnosis[9]. For example, glaucoma diagnosis typically involves measuring retinal layer thickness, but the elongated shape of high myopic eyes interferes with OCT scanning, leading to image distortion that may mask or mimic glaucomatous degeneration[101]. Clinically, MON in high myopia and glaucoma-related optic neuropathy (GON) share similarities. Yet, subtle differences in fundus imaging and functional changes may serve as diagnostic markers to distinguish GON from MON[9]. However, the relationship between varying degrees of high myopia and GON progression remains unclear, and further research is needed to address this issue. In terms of treatment, IOP reduction has proven effective in highly myopic eyes with glaucomatous or glaucoma-like optic nerve damage. However, treatment strategies for nonglaucomatous, eye elongation-related, or mechanically induced optic nerve damage remain unclear and require further exploration[103]. One study has suggested that retrobulbar and systemic glucocorticoid therapy may benefit patients with acute-onset MON[104], although controlled clinical trials are needed to validate these findings. Future research integrating multimodal imaging and comparing therapeutic interventions may advance MON management strategies.

      For experimental research, further investigation into the mechanisms underlying high myopia-induced fundus changes is essential, particularly the vascular and tractional mechanisms associated with optic nerve damage[105,106]. Whether these changes occur simultaneously or if one leads to the other is still uncertain. A deeper understanding of these mechanisms will provide valuable insights for future prevention and treatment strategies.

      To achieve transformative progress of MON AI development, future research should integrate multiple parameters, including morphological, functional, and vascular features into AI-driven analysis, potentially uncovering novel correlations and enabling more effective detection and monitoring of MON[107,108]. Crucially, leveraging multimodal correlation analysis capabilities of AI to develop refined differentiation models between myopic and glaucomatous optic neuropathies will be essential to overcome their anatomical similarities[109,110].

      In summary, with the increasing global prevalence of high myopia, it is crucial to address these knowledge gaps as a public health priority. This will help alleviate the burden of optic nerve damage and visual impairment, paving the way for more effective clinical management strategies.

    • Not applicable.

      • The study was supported by the Start-up Fund for RAPs under the Strategic Hiring Scheme (Grant No. P0048638) from the Hong Kong Polytechnic University, PolyU - Rohto Centre of Research Excellence for Eye Care (Grant No. P0046333), and Henry G. Leong Endowed Professorship in Elderly Vision Health. We thank the InnoHK HKSAR Government for providing valuable support. The research work described in this paper was conducted in the JC STEM Lab of Innovative Light Therapy for Eye Diseases, funded by The Hong Kong Jockey Club Charities Trust. We also extend our appreciation to Jinze Zhang, a PhD candidate from Sun Yat-sen University, for kindly providing the personal fundus images. Data in (Fig. 2b) were obtained from the HPMI database (Huang, Shenghai; Li, Zhongwen; Lin, Bing; Zhang, Shaodan; Yi, Quanyong; Wang, Lei. HPMI: A retinal fundus image dataset for the identification of high and pathological myopia based on deep learning. Figshare dataset: https://doi.org/10.6084/m9.figshare.24800232.v1).

      • The authors confirm the contribution to the paper as follows: study conception and design: He M; data collection: Chen X; analysis and interpretation of results: Chen X, Chen Y; writing - original draft preparation: Chen X, Chen Y; writing - review and editing: Ding X, Wang Y, Shi D, He M. All authors reviewed the results and approved the final version of the manuscript.

      • Data sharing not applicable to this article as no datasets were generated or analyzed during the current study.

      • The authors declare that they have no conflict of interest.

      • Copyright: © 2025 by the author(s). Published by Maximum Academic Press, Fayetteville, GA. This article is an open access article distributed under Creative Commons Attribution License (CC BY 4.0), visit https://creativecommons.org/licenses/by/4.0/.
    Figure (3)  References (110)
  • About this article
    Cite this article
    Chen X, Chen Y, Ding X, Wang Y, Shi D, et al. 2025. Optic neuropathy in high myopia. Visual Neuroscience 42: e008 doi: 10.48130/vns-0025-0007
    Chen X, Chen Y, Ding X, Wang Y, Shi D, et al. 2025. Optic neuropathy in high myopia. Visual Neuroscience 42: e008 doi: 10.48130/vns-0025-0007

Catalog

    /

    DownLoad:  Full-Size Img  PowerPoint
    Return
    Return